MRI Scan in Thrissur

project-details
MRI Scanning in Thrissur: Precision Diagnostics at Magnus

Looking for reliable MRI scan centres in Thrissur? At Magnus Diagnostics, we bring world-class imaging technology to the heart of the city. Our advanced MRI facilities are designed for accuracy, comfort, and early diagnosis, helping doctors make informed decisions. Whether it's a routine scan or a detailed diagnostic assessment, our team ensures you receive the highest standard of care in Thrissur.

What is an MRI?

Magnetic Resonance Imaging(MRI) is a non-invasive procedure that uses powerful magnets and radio waves to create detailed images of the body’s internal organs, tissues, and bones. Unlike X-rays or CT scans, MRI does not use ionising radiation, making it a safer option for many patients.

What is an MRI?

Magnetic Resonance Imaging(MRI) is a non-invasive procedure that uses powerful magnets and radio waves to create detailed images of the body’s internal organs, tissues, and bones. Unlike X-rays or CT scans, MRI does not use ionising radiation, making it a safer option for many patients.

Why Do You Need an MRI Scan?

MRI scans help detect, diagnose, and monitor conditions ranging from musculoskeletal injuries to neurological disorders. It’s especially useful when high-contrast images of soft tissues are required. Your doctor might recommend an MRI to:

Types of MRI Scans Offered at Magnus Diagnostics

We offer a full spectrum of MRI scans to meet varied diagnostic needs:

icon

Head and brain

Evaluates conditions such as strokes, brain tumours, aneurysms, multiple sclerosis, and more.

icon

Spine MRI

Helps in detecting disc problems, spinal cord issues, and nerve compression.

icon

Knee MRI

Diagnoses ligament tears, cartilage damage, or internal joint injuries.

icon

Shoulder MRI

Examines rotator cuff injuries, labral tears, and joint instability.

icon

Hip MRI

Detects issues like fractures, arthritis, or labral damage.

icon

Abdominal MRI

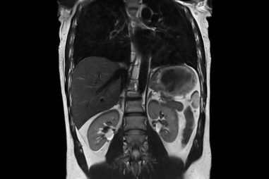
Assesses organs such as the liver, kidneys, pancreas, and adrenal glands.

icon

Chest MRI

Used for detailed imaging of the heart, lungs, and chest wall structures.

icon

Whole Body MRI

A comprehensive scan to screen for tumours, infections, or systemic conditions—ideal for preventive health.

Benefits of MRI Scanning

MRI (Magnetic Resonance Imaging) offers numerous advantages that make it one of the most trusted diagnostic tools in modern medicine. Here’s why

  1. Radiation-free Imaging

MRI uses magnetic fields and radio waves, with no harmful ionising radiation, making it a safer option, especially for repeated scans.

2. High-Resolution Soft Tissue Images

MRI provides superior clarity for soft tissues like the brain, spinal cord, muscles, and organs, often revealing what X-rays or CT scans cannot.

3. Early and Accurate Diagnosis

With its advanced imaging capabilities, MRI helps detect abnormalities at an early stage, which allows for timely and effective treatment.

4. Non-Invasive and Painless

The procedure is completely non-invasive, and there’s no recovery time. Most patients feel no discomfort during the scan.

5. Versatility Across Specialities

From neurology and orthopaedics to cardiology and abdominal imaging, MRI is used across multiple medical disciplines.

6. Functional Imaging

MRI can go beyond structure; functional MRI(fMRI) scans detect brain activity, and contrast MRI scans track blood flow and organ function.

Risks Connected with MRI Scans

MRI scans are generally considered safe and are widely used worldwide. However, like any medical procedure, there are a few risks and precautions to be aware of:

Metal Implants and Devices

      Patients with pacemakers, cochlear implants, metal plates, or surgical clips may not be eligible for MRI due to the strong magnetic field, which can interfere with these devices.

Claustrophobia and Discomfort

      Some individuals may feel anxious or claustrophobic inside the MRI scanner. Open MRI or mild sedation may be recommended in such cases.

Contrast Dye Reactions

      In certain cases, a contrast agent (gadolinium) is used to enhance image clarity. While generally safe, some people may experience mild allergic reactions or, in rare cases, kidney-related complications.

Noise and Vibration

       MRI machines produce loud tapping or thumping sounds. Patients are typically provided with earplugs or headphones for comfort.

Pregnancy Precautions

       While there’s no evidence of harm, MRI is usually avoided during the first trimester unless necessary.

At Magnus Diagnostics, we follow strict screening protocols and safety measures to ensure a risk-free MRI experience for every patient.

Advantages of Choosing Our MRI Scan in Thrissur

At Magnus Diagnostics, we go beyond just imaging—we deliver confidence, care, and clarity. Here’s what makes us one of the most preferred MRI scan centres in Thrissur:

  1. Advanced 1.5 Tesla MRI Technology

      Our state-of-the-art MRI equipment ensures high-definition imaging for faster, more accurate diagnosis.

2. Expert Radiologists & Skilled Technicians

      Your scans are handled by experienced professionals trained to deliver precise and reliable results.

3. Fast Reporting & Digital Access

      We value your time—get quick turnaround reports and easy digital access for both patients and doctors.

4. Affordable Pricing

      Quality healthcare should be accessible. We offer competitive MRI scan rates without compromising on standards.

5. Patient-Centric Approach

      From warm staff to a comfortable scan environment, we prioritise your ease and well-being every step of the way.

6. Trusted by Top Hospitals and Doctors in Thrissur

      Our reputation for diagnostic accuracy makes us a trusted partner for numerous healthcare providers across the region.

Choose Magnus Diagnostics for MRI scans that combine precision, compassion, and trust, all under one roof.

Why Choose Magnus Diagnostics for MRI Scans in Thrissur?

When it comes to accurate diagnosis and patient care, Magnus Diagnostics stands as a trusted name among MRI scan centres in Thrissur. Here is why patients and doctors choose us with confidence.

High-End MRI Technology

      We use advanced 1.5 Tesla MRI machines that deliver crystal-clear images, crucial for the precise and early detection of medical conditions.

Expertise You Can Trust

      Our team of certified radiologists and trained MRI technicians ensures every scan is performed with precision, care, and clinical accuracy.

Quick Turnaround & Digital Reports

      Receive your scan reports fast, with secure digital access for easy sharing with your physician.

Affordable & Transparent Pricing

      We believe in accessible healthcare. Our MRI scans are reasonably priced, with no hidden charges.

Comfort-Focused Experience

      From minimal wait times to a comfortable scanning environment, we’re dedicated to making your experience stress-free.

Convenient Location & Trusted Network

      Strategically located in Thrissur and recommended by leading specialists, Magnus is the preferred diagnostic partner for hospitals and clinics across the city.

Magnus Diagnostics isn’t just another MRI centre, it’s where accuracy meets empathy. Choose us for scans that truly make a difference.

Our Scanning Centers in Thrissur

Frequently Asked Questions

What is an MRI scan used for?

MRI scans are used to detect abnormalities in soft tissues, including the brain, spine, joints, and internal organs.

MRI scan costs vary based on the body part and scan type. Contact Magnus Diagnostics for the most competitive rates in Thrissur.

It helps diagnose tumours, brain disorders, spinal issues, joint injuries, and organ diseases.

Yes, MRI is one of the best imaging tools for detecting nerve compression or damage.

Preliminary results may be available within a few hours, and a complete report is  usually ready within 24-48 hours.

No, MRI scans are non-invasive and painless, though some may find it slightly uncomfortable due to the stillness required.

MRI uses magnetic fields and radio waves, while CT uses X-rays. MRI is better for soft tissues; CT is quicker and preferred for bones and trauma cases.